We know life can get hectic, and amidst the chaos, we often forget to pay attention to the unsung hero of our oral health – our gums. You might be thinking, “Gums? Do they really matter that much?” Well, buckle up because your gums play a crucial role in maintaining a healthy and beautiful smile. Today, let’s delve into the world of gum health and explore why Gum Rejuvenation Treatment is an absolute game-changer.
The Unseen Guardians of Oral Health
Picture this: your teeth are like shiny soldiers standing at attention, but what keeps them in place and protects the fortress? Your gums! Healthy gums provide a stable foundation for your teeth, ensuring they stay firmly rooted. Beyond that, gums act as a barrier, defending against harmful bacteria that could wreak havoc in your mouth.
Signs That Your Gums Need Some TLC
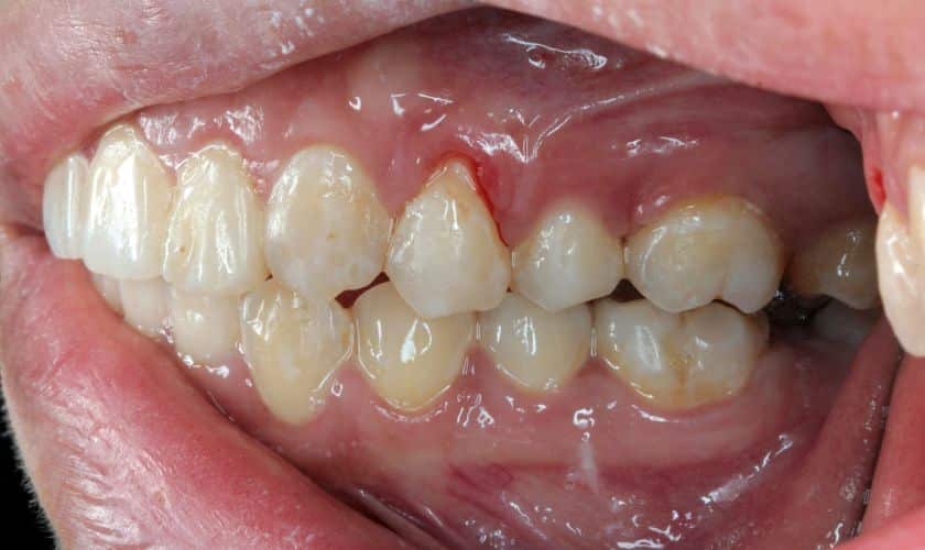
Now, let’s talk about the red flags that your gums might be sending your way. Do you notice bleeding when you brush or floss? Are your gums swollen or tender? These are signs that your gums need some extra love. Ignoring these symptoms could lead to more severe issues like gum disease, which, trust us, you want to avoid.
Enter Gum Rejuvenation Treatment
Cue the superhero music because Gum Rejuvenation Treatment is here to save the day! Also known as gum grafting, this procedure focuses on restoring and enhancing the health of your gums. But why is it essential?
1. Bye-Bye, Receding Gums
One common issue many people face is receding gums. This not only affects the aesthetics of your smile but can also expose the sensitive roots of your teeth, leading to discomfort. Gum rejuvenation treatment addresses this by grafting tissue to cover and protect the exposed roots, restoring a more natural gumline.
2. Gum Disease Warrior
Gum disease is like the villain in this story – it sneaks in, causes inflammation, and if left unchecked, can lead to tooth loss. Gum rejuvenation treatment not only repairs the damage but also prevents further deterioration, giving you a second chance to maintain optimal oral health.
3. Cosmetic Perks
Beyond the health benefits, gum rejuvenation treatment can be a game-changer for the appearance of your smile. Say goodbye to uneven or excessively gummy smiles as this procedure helps create a harmonious and aesthetically pleasing gumline.
The Procedure Demystified
Now, you might be wondering what actually happens during gum rejuvenation treatment. Don’t worry; it’s not as daunting as it sounds! Our experienced team here in Salt Lake City will carefully graft a small amount of tissue from one area of your mouth to the affected site. This process promotes natural healing and encourages the regeneration of healthy gum tissue.
What to Expect Post-Treatment
Recovery from gum rejuvenation treatment is generally smooth sailing. You may experience some mild discomfort and swelling initially, but with proper care and follow-up visits, you’ll be back to flashing that confident smile in no time.
Your Smile, Our Priority
Here at The Sugar House Dentist in Salt Lake City, we understand the importance of gum health, and we’re committed to providing top-notch care for our community. Our experienced team is ready to guide you through the process, answer your questions, and ensure you feel comfortable every step of the way.
Don’t Wait – Schedule Your Consultation Today
Remember, your gums are the unsung heroes of your oral health, and they deserve the best care possible. If you’re experiencing any gum-related concerns or simply want to ensure your smile stays radiant, schedule a consultation with us. Let’s work together to keep your gums happy, healthy, and ready to shine!
In conclusion, don’t underestimate the power of healthy gums. Gum rejuvenation treatment is not just about fixing issues – it’s an investment in the longevity and beauty of your smile. So, Salt Lake City, let’s make gum health a priority because your smile deserves it!



